- Tengo próstata grado 3, necesito operarme?
- Mi papá tiene grado 4, eso es un cáncer?
- La ecografia nos dice HBO grado I, eso es normal o tengo que tomar pastillas?
- La ecografía sirve para la prostatitis?
Cómo funciona un ecógrafo?
Un ecógrafo es un aparato que emite ondas de sonido, y que luego las recibe, todo ello a través de un transductor. El principio físico es muy similar a los sonares naturales que poseen los delfines y los murciélagos: ellos emiten ondas que luego»chocarán» contra un cuerpo sólido, y perciben de regreso el impacto de esas ondas, orientándolos, en el caso de los murciélagos en el vuelo, y en el caso de los delfines para buscar alimento.
Las ondas de ultrasonido se propagan con mayor eficiencia en los líquidos, y de ahí su gran utilidad para la evaluación de órganos blandos como el higado, bazo, corazón, riñones y próstata.
Luego de captada la señal de retorno por el transductor, la señal se amplifica y luego se interpreta en un computador, en el cual el médico podrá calcular las dimensiones del órgano estudiado, en nuestro caso, la próstata.
Cómo se hace una ecografía de próstata?
Esto va a depender del tipo de ecografía solicitada, para estudiar la próstata se pude realizar una ecografía abdominal o una a través del recto (transrectal). Las evaluaciones rutinarias de la próstata sólo utilizan la vía abdominal, dejando la vía rectal sólo para casos muy especiales y ante la sospecha de un cáncer de próstata.
La vía suprapúbica se ha mostrado eser tan fiable como la transrectal para la determinación del volumen, con la ventaja de ser menos laboriosa, mejor tolerada y tener una amplia difusión.
En este post sólo trataremos la ecografía abdominal.
Ecografía de próstata abdominal
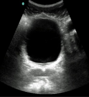
Para realizar este examen siempre será necesario que la vejiga esté llena, pues si está vacía la mayoría de órganos del abdomen impedirán que se visualice la próstata.
Tener la vejiga llena tiene dos funciones, 1. el líquido va a desplazar los otros órganos y, 2. la orina servirá como una «ventana» que permita ver la próstata con mayor precisión.
Cuando la vejiga esta vacía o con poco líquido no se puede apreciar la próstata tan bien como cuando esta medio llena. Tener la vejiga muy llena también puede dificultar la visión de la próstata.
Cómo conocer el tamaño de la próstata?
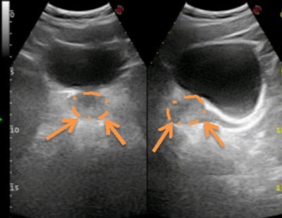
Lo que calculamos con la ayuda de la ecografía es el volumen prostático, y para ello se realiza la toma de medidas longitudinal, antero posterior y transversal.
Al lado izquierdo se aprecia una vista «superior» de la prostata, y al lado derecho una vista lateral de la misma. La vista superior o «desde arriba» permite medir los diámetros mayores antero posterior y transversal. La vista lateral permite tomar la medida de la longitud de la próstata (céfalo caudal).
Qué otros datos se pueden obtener de la ecografia de próstata aparte del volumen?
La ecografía de próstata permite visualizar dentro del tejido prostático pudiendo observarse también la vejiga y las vesículas seminales, algunos datos importantes que podemos apreciar con este examen son:
- Cálculos prostáticos, la cual es frecuente en pacientes con agrandamiento prostpatico, nosotros los diagnosticamos en menos del 20%.
- Quistes de retención, que aunque raros y sin significación patológica, preocupan a los pacientes
- Nódulos, en mas del 20 de cada 100 de pacientes, la literatura es contundente al respecto, solo un 20% de los nódulos detectados por ecografía corresponden a cáncer de próstata. El hecho de tener nódulos en la ecografía no es razón suficiente para realizar una biopsia de próstata.
- Evaluación de la vejiga y de sus paredes
- Engrosamiento del músculo de la vejiga (músculo detrusor) que puede verse tan grueso como 2 cm.
- Diagnóstico de cálculos en la vejiga
- Diagnóstico de tumores de vejiga
- Medición del residuo postmiccional.
Los grados de la próstata
Los grados de crecimiento prostático (y observen que no hablamos de hiperplasia prostática) son definidos por la ecografía en relación al volumen de la glándula, divididos en 4 tipos:
Grado I, cuando la próstata tiene valores de 20 a 40 cc
Grado II; cuando la próstata se encuentra entre los 40 y 60 cc.
Grado III; cuando la próstata se encuentra entre los 60 y 80 cc.
Grado IV; cuando la próstata supera los 80 cc.
La intensidad y frecuencia de los síntomas prostáticos no siempre están directamente relacionados con el tipo de grado; dicho de otro modo; el hecho de tener una próstata de 80 cc no implica que un paciente tendrá síntomas más intensos y mas severos, o más complicaciones.
Respondiendo las preguntas iniciales
Tengo próstata grado 3, necesito operarme?
Si desea saber más sobre el tema, no dude en visitarnos.











