CANCER DE VEJIGA
DIAGNOSTICO 2
Artículo Especializado. MU
ESTUDIO
Una vez descartadas otras causas de hematuria y de microhematuria persistente (igual o mayor en 2 estudios de orina), es necesario el estudio de la uretra, la vejiga y de la vía urinaria superior.
CITOLOGIA DE ORINA
Corresponde al estudio histopatológico de las células exfoliadas del urotelio. Tiene una mayor sensibilidad para la neoplasia de alto grado desde que la cohesión de las células de este tipo de tumor es débil.
La sensibilidad para el Carcinoma In Situ (CIS) es de un 28 – 100 %; para los tumores de Alto grado / G3 es de un 84 %; y para el Bajo grado disminuye a un 16 %.
La especificidad puede llegar a ser del 90 % y tiene una alta correspondencia entre patólogos.
Los falsos negativos corresponden a tumores Bajo grado y varían de un 40 a un 70 % de los casos.
Los falsos positivos corresponde a infección, inflamación, cuerpos extraños, litiasis, instrumentación e instilación intravesical.
Se discutira en el siguiente artículo de manera más extensa.
![]() |
| La citología de orina es un estudio netamente histológico. |
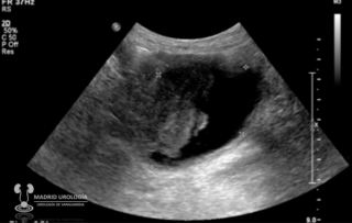
ULTRASONIDO
Constituye uno de los estudios más importantes pues permite el estudio de la pared de la vejiga y nos da alguna información sobre la afección de la vía urinaria superior, aunque en caso de alta sospecha de compromiso de esta, los estudio más relevantes serían el URO TAC o la Urografía Intra Venosa (UIV). Si se detecta una lesión en la vejiga, en principio, no sería necesario la visualización de la misma mediante cistoscopia para proceder a la Exploración Vesical Bajo anestesia.
![]() |
| Ultrasonido en el que se muestra lesión vesical exofítica. |
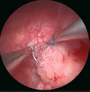
URETROCISTOSCOPIA
Consiste en la introducción de un Uretrocistoscopio a través del meato uretral y que permitirá la valoración de la uretra y de la vejiga. Aunque la mayoría de lesiones malignas vesicales son bastante bien reconocidas, el urólogo deberá tener alguna experiencia para determinar la presencia de lesiones sospechosas de Cáncer In Situ u otras lesiones menos comunes y benignas (Cistitis folicular, cistitis inespecífica, etc) que puedan ser causa de hematuria.
![]() |
| En general, las lesiones malignas más frecuentes son fácilmente reconocidas sin embargo existen otras que pueden hacer dudar del diagnóstico. Es importante el estudio de imágenes en cistoscopia. |
URO TAC y UIV
Ambos estudios son mucho más eficaces para determinar la afección de la vía urinaria superior, pero su uso en general quedará restringido a aquellos casos en que exista una alta sospecha de cáncer de vía urinaria por persistencia de hematuria, o citología de orina positivas sin otras causa demostrable. Aún así son también capaces de detectar el tumor vesical.
MU POINT
La incidencia de Carcinoma Urotelial de Vía Urinaria Superior es de un 1,8 % y se incrementa a 7,5 % en tumores localizados en el trígono.
MARCADORES TUMORALES
En la actualidad no existen recomendaciones para el uso de marcadores. En general podemos decir que a pesar de la incursión de varios marcadores, a día de hoy no han sido aceptados en la práctica clínica. Todos suelen tener una alta sensibilidad pero una baja especificidad con falsos positivos relacionados a condiciones benignas y al tratamiento mediante (Bacilo de Calmette Gerín) BCG.
Los diversos estudios demuestran poca utilidad en el screening y para el estudio de la hematuria; comparado con la citología es muy inferior para la vigilancia clínica del CCT.
RESECCION TRANSURETRAL DE VEJIGA
Una vez establecido el diagnóstico mediante Ultrasonido o Uretrocistoscopia, el siguiente paso es el abordaje quirúrgico.
La Resección Trans Uretral de Vejiga (RTU V) consiste en la exploración vesical bajo anestesia y la resección de la lesión sospechosa. Es un procedimiento que provee el diagnóstico histológico, grado y estadio clínico del tumor vesical y constituye la primera medida terapéutica que en algunos casos es definitiva.
Se discutira de manera más extensa en un artículo posterior.
NARROW BAND IMAGE
Permite diferenciar el contraste entre el urotelio normal y el tejido tumoral hipervascular. Parece demostrarse una mejora en la detección del cáncer mediante biopsia y RTU V guiada por Narrow Band Image (NBI). Aún no se ha demostrado que el uso de esta medida disminuya la tasa de recurrencia tras RTU V.
DIAGNOSTICO FOTODINAMICO PDD
Utiliza la luz azul en combinación con un fotosensibilizador – Acido 5 Aminolaevulinico (5-ALA) o Acdio Hexaminolaevulinico (HAL) – bsado en estudios que demostraron que existían tumores que no podían detectarse mediante luz blanca convencional.
Utiliza la luz azul en combinación con un fotosensibilizador – Acido 5 Aminolaevulinico (5-ALA) o Acdio Hexaminolaevulinico (HAL) – bsado en estudios que demostraron que existían tumores que no podían detectarse mediante luz blanca convencional.
El PDD tiene una mayor sensibilidad (92 % vs 71 %) para la detección del CIS que la luz blanca; aunque la especificidad es francamente inferior (63 %Ç vs 81 % )
MU POINT sobre el PDD
Un Estudio Prospectivo Randomizado NO CONFIRMO mayores tasas de detección en pacientes con Citología de orina positiva conocida previamente.
Los estudios Prospectivos Randomizados son controversiales al intentar demostrar una disminución en las tasas de recurrencia con el uso de RTU V utilizando ALA.
Tiene Falsos Positivos en relación a la inflamación post RTU V y por BCG incluso tras 3 meses de la terapia.
Un Metaanalisis demostró disminución del 10 % en las tasas de recurrencia ea los 12 meses en todos los grupos.
Permanece por aclarar si disminuye las tasas de progresión y de supervivencia.
Dr. Luis Fernando Susaníbar Napurí
Madrid Urología
Urología y Medicina Sexual
Link asociados:
– Cáncer de vejiga. Otros Esquemas de Tratamiento – Terapia Multimodal. Capítulos 6. Sección 4.
– Cáncer de vejiga. Otros Esquemas de Tratamiento – Cistectomía Parcial. Capítulo 6. Sección 5.
– Cáncer de Vejiga. Enfermedad Localmente Avanzada y Metastásica. Capítulo 7. Sección 1.
– Cáncer de Vejiga. Enfermedad Localmente Avanzada y Metastásica. Pacientes UNFIT. Capítulo 7. Sección 2.
– Cáncer de Vejiga. Enfermedad Localmente Avanzada y Metastásica. Paciente FIT. Capítulo 7. Sección 3.
– Cáncer de vejiga. Otros Esquemas de Tratamiento – Cistectomía Parcial. Capítulo 6. Sección 5.
– Cáncer de Vejiga. Enfermedad Localmente Avanzada y Metastásica. Capítulo 7. Sección 1.
– Cáncer de Vejiga. Enfermedad Localmente Avanzada y Metastásica. Pacientes UNFIT. Capítulo 7. Sección 2.
– Cáncer de Vejiga. Enfermedad Localmente Avanzada y Metastásica. Paciente FIT. Capítulo 7. Sección 3.
Si desea nuestras fuentes bibliográficas envíenos un email.
Algunas fuentes bibliográficas:
– Guías clínicas de la EAU, NCCN, AUA, ESMO.
– Smith and Tango 18 edición. Texto
– Urological Cancer Management. 2015. Texto
– Handbook of Urology. 2014. Texto
– Oxford Handbook of Urology. 2013. Texto
– WHO 2016.
¿UN CASO DIFICIL?
MADRID UROLOGIA
Escribanos y le pondremos en contacto con un especialista.
Fijo: (0034) 910 32 73 74
email us: madridurologia@gmail.com








