El estudio de la orina miccionada o de lavado vesical en el diagnóstico del Cáncer de Células Transcicionales (CCT) se considera un estudio de alto rendimiento en tumores de Alto Grado y el Carcinoma In Situ (CIS), con una sensibilidad que va desde un 38 a un 51 % y una especificidad entre el 81 y el 100 %. Los tumores de Bajo Grado con menos frecuencia exfolian células anormales a la orina y la citología presenta un bajo rendimiento diagnóstico.
ANALISIS DE ORINA
- La orina debe ser enviada para su análisis tan pronto como sea posible después de su recolección.
- Después de la centrifugación, el sedimento celular obtenido se divide entre dos portaobjetos.
- Una muestra se tiñe con tinción de Papanicolaou y la otra con hematoxilina y eosina (H&E)
- Se realiza el estudio microscópico.
(Objetivos primarios de la Citología de Orina)
- Reconocer lesiones planas de manera precoz tales como el CIS antes de que estas lesiones se vuelvan invasivas.
- Detectar el 10% de las lesiones superficiales destinadas a convertirse en tumores invasores.
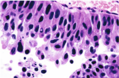
Característicamente, las células del CCT pueden aparecer solas o en pequeños racimos, y presentan grandes núcleos hipercromáticos con cromatina irregular de textura gruesa. Las células malignas identificadas mediante citología pueden clasificarse como:
- Bajo grado: el cual correlaciona con lesiones histológicas de grado I y algunas lesiones de grado II
- Alto grado: se correlaciona con lesiones de grado II, todas las lesiones de grado III, y también con el Carcinoma In Situ.
CONSIDERACIONES CLINICAS
En los pacientes en los que se mantiene seguimiento por CCT, la sensibilidad global de la citología de orina positiva es de aproximadamente 40 a 60%, pero la sensibilidad aumenta a aproximadamente el 90% para la enfermedad de alto grado y el CIS.
Un diagnóstico citológico positivo es altamente predictivo de CCT, incluso en la presencia de cistoscopia normal. Las células malignas pueden aparecer en la orina mucho antes de que las lesiones cistoscópicamente detectables surjan, dando lugar a una tasa aparentemente exagerada de resultados falsos positivos. La tasa de falsos negativos reportados en general es del 65%, pero puede ser tan alta como 96% en los tumores de bajo grado.
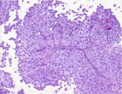
CCT de Alto grado y CIS
- La CO tiene un excelente rendimiento estadístico en aquellos pacientes con lesión de alto grado, y como tal, justifica su uso como estudio de detección y vigilancia durante es seguimiento.
- La sensibilidad es al menos del 90%
- La especificidad alcanza el 98 a 100%
- Las células desprendidas del CIS tienen un citomorfología similar a las lesiones invasivas de alto grado

Debido al hecho de que las células de los tumores bien diferenciados de bajo grado se parecen mucho a las células uroteliales normales, los citólogos a menudo optan por la terminología «células atípicas presentes» o «no se puede descartar la lesión de bajo grado»
La sensibilidad de la citología en este caso varia de 0 a 100%, y la especificidad entre 6 -100%
Actualmente se continúan haciendo esfuerzos en desarrollar técnicas auxiliares para mejorar la sensibilidad de la CO en la enfermedad de bajo grado
Una resultado positivo en una CO sin evidencia de lesión apreciable en la vejiga o en la uretra obliga a realizar un estudio sobre la vía urinaria superior, el cual a su vez puede incluir una CO Uroselectiva (realizada en cada vía urinaria mediante cateterización). La sensibilidad global de la citología se puede mejorar mediante el estudio de varios especímenes de orina o lavados vesicales. La combinación de CO con la Cistometría de flujo para detectar células malignas con DNA anormal puede también incrementar el rendimiento, aunque los costes son mucho mayores.

DESVENTAJAS DE LA CITOLOGIA
En las mujeres, la contaminación vaginal, cervical, o células de endometrio en las mujeres pueden dar lugar a interpretaciones erróneas.
Autor: Fernando Susaníbar. Madrid Urología.
Ref: Cáncer de Vejiga. Diagnóstico – CITOLOGIA 2 MU. Capítulo 3. Sección 4.
http://bit.ly/2uatNMI

