
Resonancia biparamétrica para el diagnóstico de cáncer de próstata
Cuando me encontraba en la facultad de medicina de la Universidad Peruana Cayetano Heredia a inicio de la década de los noventa, se comenzó a utilizar el antígeno prostático específico (APE) en el escrutinio y búsqueda del cáncer de próstata con fines de investigación y ello llevó al desarrollo de las nuevas técnicas de tomas de muestra de biopsia evolucionando hacia la punción directa transperineal o vía transrectal por palpación o guiada por ultrasonido endorectal; técnicas que se mantuvieron por casi tres décadas como un gold standard.
Desde ese entonces muchas técnicas han sido diseñadas con el fin de mejorar la potencia diagnóstica de la biopsia: toma múltiple por cuadrantes, sextantes, muestreo aleatorio por zonas hipervasculares por Doppler color o biopsia múltiple por saturación, con muy diversos resultados en cuanto a biopsias positivas para cáncer de próstata, números que van desde escasos 5% hasta un nada deleznable 50%, dependiendo de las serie estudiada.
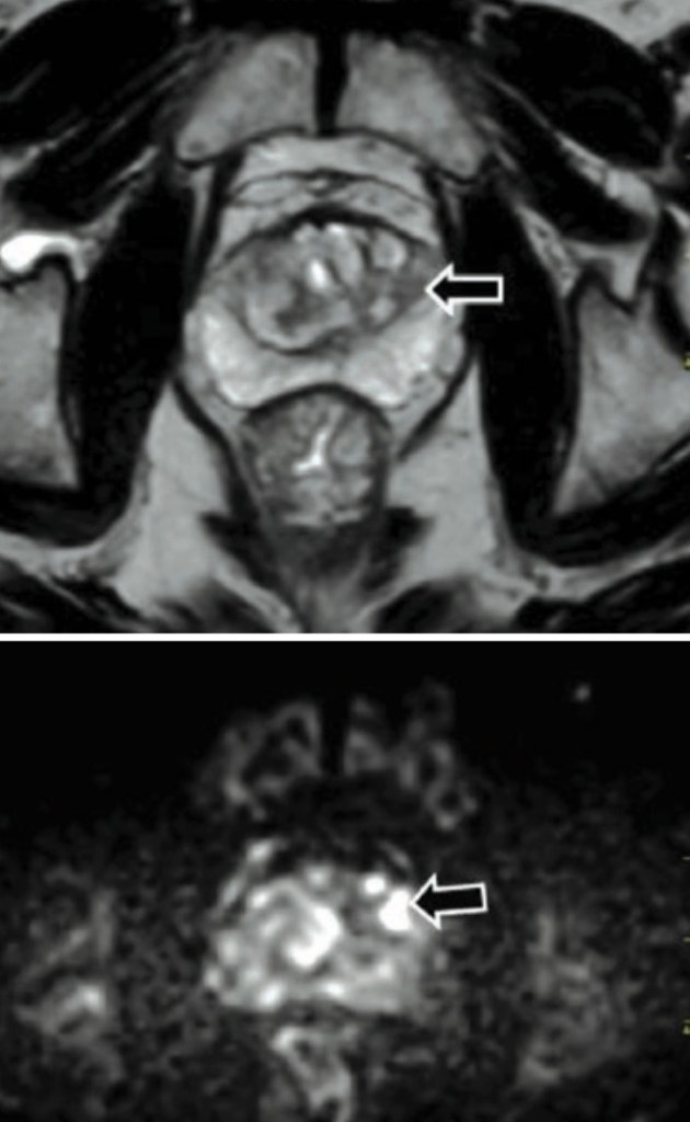
Aprovechando el poder que tiene la resonancia magnética y la facilidad de la misma para que evaluar la periferia de la glándula prostática, desde hace algunos años viene siendo utilizada esta herramienta tecnológica con el objetivo de mejorar lo resultados de las biopsias prostáticas.
El examen nos permite también identificar zonas inflamatorias que podrían confundirse con focos de cáncer, con la característica de tener valores bajos de parámetro DWI. La facilidad de obtener imágenes contrastadas permite localizar zonas de mas alta chance tumoral, con mayor sospecha de celularidad y sobre todo con pronósticos de gleason más altos dependiendo la imagen obtenida en la resonancia biparamétrica.
El utilizar la resonancia magnética previa a la biopsia puede disminuir en forma considerable el número de muestras y, por consiguiente, impactar en la morbilidad del procedimiento, además de elevar la certeza histológica de neoplasia con respecto a otros procedimientos que no usan IRM como guía.
En nuestros primeros casos, hemos logrado incluso obtener muestras positivas en pacientes que previamente han tenido biopsias negativas indicando solo hiperplasia prostática benigna. La técnica es prometedora y esperamos mayor casuística para futuras publicaciones.
Dr. Luis Susanibar, Urólogo
Dr. Julian Henderson, Radiólogo
D
