
CÁLCULOS PROSTÁTICOS.
Las calcificaciones en la próstata son un hallazgo muy frecuente en la ecografía, pueden suceder a cualquier edad pero son más frecuentes en hombres a partir de los 50 años, llegando a aparecer hasta en un 75%.
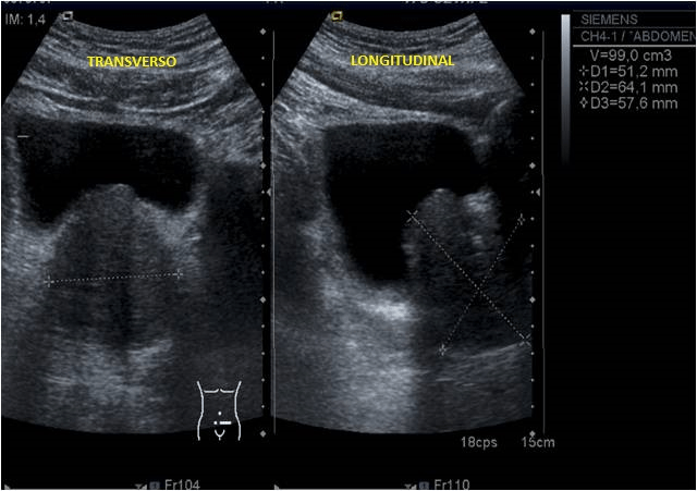
Son las imágenes blancas con sombra negra que puedes identificar fácilmente en la foto.
Dr. Luis Susaníbar
También les llaman cálculos prostáticos y pueden formarse por acúmulo de material inorgánico en los pequeños conductos de la glándula, usualmente provienen de la propia secreción prostática o del reflujo de orina hacia la próstata que se produce en ocasiones. Sobre este material inorgánico se van depositanto las sales de calcio en el paso del tiempo, o como consecuancia y más aceleradamente, si hay alguna inflamación como una prostatitis.
En la mayoría de los casos las calcificaciones en la próstata son asintomáticas y se descubren casualmente al hacer una ecografía, radiografía o resonancia; durante una revisión urológica. Pueden aparecer en varones normales que nunca han tenido síntomas, o en pacientes diagnosticados de hiperplasia benigna de próstata (HBP), prostatitis crónica, cáncer de próstata o estenosis de uretra, y otras más.
¿Me debo preocupar?
La respuesta es un contundente NO. La mayoría de las calcificaciones en la próstata son asintomáticas, y en sí mismas no representan ninguna patología a tratar. Sin embargo si existen síntomas, ya sea por HBP, prostatitis, cáncer o estenosis; entonces hay que tratar la enfemredad de fondo, con independencia de las calcificaciones.
Si desearas tratarlas, la única manera es menidante una cirugía, inusualmente recomendada.
📆 Separa una cita en Urología Peruana

