NEOPLASIA MALIGNA UROTELIAL. MU
CITOLOGIA DE ORINA
Indicaciones y Recogida de orina.
CITOLOGIA DE ORINA
Indicaciones y Recogida de orina.
MADRID UROLOGIA
Escribanos y le pondremos en contacto con un especialista.
Fijo: (0034) 910 32 73 74
Email us: madridurologia@gmail.com
INTRODUCCIÓN
La valoración de pacientes con sospecha de Cáncer de Células Transicionales de la vía urinaria – separados clínicamente en CCT de vía urinaria alta, vejiga y de uretra – requiere un estudio sistematizado que incluye el sedimento de orina, el cultivo de orina, la citología de orina, la cistoscopia y pruebas de imágenes.
La citología de orina es un estudio ampliamente extendido en la práctica clínica y se basa en el estudio de las células que se exfolian del epitelio urotelial.
Las células uroteliales se están exfoliando constantemente en la orina tanto en personas normales como en aquellas con carcinoma de células transicionales (CCT) del tracto urinario. Estas células pueden ser identificadas, fijadas, y analizadas con el fin de determinar la morfología celular, proporcionando con ello una técnica sencilla y no invasiva para la observación de pacientes de alto riesgo.
Como un estándar clínico de diagnosis, la citología de orina (CO) es una prueba insuficiente y de baja sensibilidad para la detección de CCT. Sin embargo, mientras no existan nuevos marcadores urinarios aceptados (alto rendimiento / bajo coste) para la detección del CCT, la CO tendrá un uso extendido en la práctica clínica.
![]() |
| La citología de orina es un estudio netamente histopatológico. |
INDICACIONES
• Vigilancia y detección de CCT o Carcinoma In Situ (CIS) en el tracto urinario.
• Hematuria franca en cualquier paciente> 40 años de edad
• Síntomas de tracto urinario irritativos en los pacientes > 40 años mayor de edad (para detectar CIS).
RECOGIDA.
Una variable que afecta directamente a la sensibilidad de la citología de orina es el tipo de muestra. La orina miccionada es fácil de obtener, pero generalmente es una orina hipocelular y con células degeneradas.
En las mujeres puede existir contaminación por los contenidos de la piel y la vagina
La sensibilidad se aumenta realizando el estudio de tres especímenes de orina obtenidos en días separados. Con esta modalidad la sensibilidad de la prueba se reporta en 41 %, 41 % y 60 % para la muestra uno, dos y tres respectivamente.
La sensibilidad se aumenta realizando el estudio de tres especímenes de orina obtenidos en días separados. Con esta modalidad la sensibilidad de la prueba se reporta en 41 %, 41 % y 60 % para la muestra uno, dos y tres respectivamente.
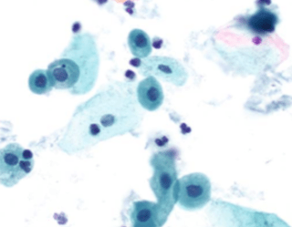
![]() |
| Muestra de orina contaminada con material vaginal. En la muestra además de células uroteliales benignas se pueden apreciar inflamación aguda y células escamosas benignas mezcladas con bacterias. |
• Micción espontánea: la primera micción de la mañana no es una buena muestra para el estudio y se debe descartar. La muestra de una segunda micción ofrece un mejor ejemplar para el estudio. Se deben recoger 50 ml de orina en un recipiente universal y debe ser enviado al laboratorio de inmediato.
• Muestras de orina mediante sondaje y lavado vesical: éstos tienen un mayor celularidad y menos contaminación, pero requieren un procedimiento invasivo por otro lado, se puede inducir un artefacto durante la instrumentación. Además, la orina de pacientes con un catéter permanente no es adecuada para el análisis, debido a que las células epiteliales normales denudadas pueden interpretarse como un CCT de bajo grado. Los lavados vesicales con suero salino son tres veces más precisos (80% para el CIS) para la obtención de muestra para citología, debido al efecto de borboteo, que mejora el desprendimiento de las células tumorales y mejora la preservación del espécimen.
• Muestreo de orina ureteral:
Existen dos contextos clínicos que hacen necesaria la cateterización del uréter para obtener orina de cada vía urinaria por separado:
1) La existencia de citología de orina positiva sin hallazgo de lesiones en uretra o vejiga y 2) la existencia de lesión sospechosa en un uréter no valorable mediante el estudio de imagen.
Para el primer caso es necesaria la cateterización por separado de cada vía urinaria enviándose cada muestra por separado para su estudio.
En el segundo caso es necesario cateterizar el uréter justo por debajo de la lesión sospechosa; siendo necesario siempre enviar la muestra de orina del otro uréter para detectar CCT sincrónicos.
Las tasas de falsos negativos son altos (22% a 35%), pero los lavados salinos pueden mejoran la sensibilidad global. La biopsia por cepillado realizada a través de un catéter retrógrado mejora el rendimiento, con una sensibilidad de 91%, una especificidad del 88% y una precisión del 89%. Las complicaciones incluyen: sangrado ureteral y perforación; aunque son complicaciones extremadamente raras.
![]() |
| Obtención de muestra de orina mediante abordaje de la vía urinaria; en este caso la vía izquierda. |
Link asociado: Citología de orina. Análisis e Interpretación.
MADRID UROLOGIA
Dr. Susaníbar
Urología y Medicina Sexual
Nuestros diagnósticos y tratamientos son basados en guías clínicas internacionales y un amplio conocimiento de la patológica.
¿PROBLEMAS UROLOGICOS?
MADRID UROLOGIA
Escribanos y le pondremos en contacto con un especialista.
Fijo: (0034) 910 32 73 74
Email us: madridurologia@gmail.com
Atención en Clínica San Juan. Arganda del Rey. Madrid
Próxima apertura de consultas:
Calle del Corazón de María. Prosperidad. Chamartín. Madrid
Cirugías en Clínica San José. Grupo Quirón.






