
El término «indurated woody penis» no cuenta con un reconocimiento formal en la literatura médica. No obstante, la fibrosis del cuerpo cavernoso como resultado de priapismo isquémico prolongado es un fenómeno ampliamente documentado. Cuando el priapismo isquémico no se trata de manera oportuna, puede provocar necrosis del músculo liso en el cuerpo cavernoso y derivar en fibrosis, lo cual da lugar a disfunción eréctil y acortamiento del pene.
La fibrosis es un proceso cuya severidad está directamente relacionada con la duración del priapismo; cuanto más tiempo transcurre sin tratamiento, mayor es la probabilidad de que se produzca cicatrización fibrosa. Este tipo de cicatrización puede dificultar significativamente la colocación de prótesis penianas en el futuro.
Características Clínicas del «Woody Penis»
Los pacientes que presentan «woody penis» suelen tener antecedentes de priapismo de larga evolución sin tratamiento adecuado. En la evaluación física, el pene aparece en un estado de semi-erección con ambos cuerpos cavernosos endurecidos y sin dolor a la palpación. Esta apariencia rígida o «leñosa» es una manifestación de fibrosis severa en el tejido cavernoso.
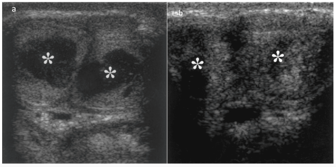
Para confirmar el diagnóstico, se recomienda realizar un doppler con sustancia vasoactiva, que en estos casos suele mostrar valores arteriales y venosos muy bajos o nulos debido a la reducción de flujo sanguíneo.

Causas Comunes del Pene Leñoso
La fibrosis leñosa puede desarrollarse en diversas circunstancias:
- Retiro previo de una prótesis peneana
- Priapismo isquémico recurrente
- Diabetes severa
- Infecciones severas en el pene o prótesis infectadas
- Cirugía previa en el pene o radioterapia
- Enfermedad de Peyronie avanzada
- *Uso recurrente de inyecciones intracavernosas

Opciones de Tratamiento
En casos donde la fibrosis es significativa y el tratamiento convencional no ha logrado resolver la situación, la implantación de prótesis penianas se presenta como una opción viable. Sin embargo, esta cirugía presenta desafíos importantes debido al estado fibroso del cuerpo cavernoso. El uso previo de una bomba de vacío puede mejorar las tasas de éxito en el implante de prótesis, ayudando a preparar el tejido y facilitar el procedimiento.
Riesgos en el implante
Tener woody penis aumenta las chances de complicaciones al momento de la cirugía, entre ellas:
- Perforación de los cuerpos cavernosos
- Desviación o cruce de cilindros protésicos
- Infección severa
- Daño a la uretra
Es fundamental diferenciar los tipos de priapismo y tratar cada caso a tiempo para reducir al mínimo el riesgo de fibrosis y sus complicaciones.

Vídeo de cirugía
Les presentamos un caso de un paciente masculino de 48 años, con antecedentes de tres días de priapismo tratado mediante derivación. Se le ofreció la colocación de un implante después de ocho meses de haber sufrido el episodio de priapismo. Durante el examen clínico se evidenció fibrosis extensa en ambos cuerpos cavernosos, afectando la totalidad del lado izquierdo y la mitad distal del lado derecho.
Procedimiento Quirúrgico en dos tiempos
Debido a la complejidad del caso se procedió a realizar el procedimiento en dos tiempos
Primer tiempo: Se colocó un implante en la mitad del cuerpo cavernoso derecho, mientras que el izquierdo quedó sin intervenir.
Segundo tiempo: Procedimos con la colocación completa de la prótesis, lo cual se muestra en detalle en el video.

*** Informes***
📆 Citas en línea y presenciales
☎️ 989 662 887
📞 (01) 332-4009
Av. Brasil 935. Jesús María. Lima. 🇵🇪 15072.
Urología Peruana Dr. Luis Susaníbar
Referencias
- Kuehhas, F., & Egydio, P. (2016). P-01-023 Penile Length and Girth Restoration in Patients with Severe Corporal Fibrosis. The Journal of Sexual Medicine, 13(Supplement_2), S149.
- Tsambarlis, P. N., Chaus, F., & Levine, L. A. (2017). Successful Placement of Penile Prostheses in Men with Severe Corporal Fibrosis Following Vacuum Therapy Protocol. The Journal of Sexual Medicine, 14(1), 44–46.
- Sansalone, S., Garaffa, G., Djinovic, R., Antonini, G., Vespasiani, G., Ieria, F. P., Cimino, S., Loreto, C., & Ralph, D. J. (2012). Reconstrucción corporal total simultánea e implantación de una prótesis de pene en pacientes con disfunción eréctil y fibrosis grave de los cuerpos cavernosos. The Journal of Sexual Medicine, 9(7), 1937–1944.
