Actualmente se la relaciona con alteraciones en la formación embrional testicular, lo que se conoce como Síndrome de Disgenesia Testicular, que si bien no es motivo de este artículo, relaciona la formación fetal con los problemas testiculares posteriores como tumoraciones,subfertilidad, criptorquídia, entre otros.
Dependiendo de la serie estudiada, esta rara patología afecta a menos del 5% de la población en general, y se le ha intentado relacionar con la presencia de cáncer testicular (germinal); pero curiosamente en la población afroamericana, en la cual la incidencia de cáncer testicular es baja, la frecuencia de microlitiasis testicular es hasta de 10%.
Patogénesis
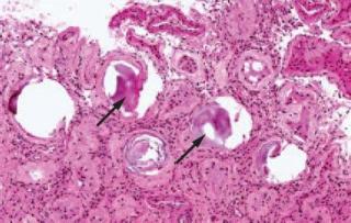
La causa de la formación de la MT no se conoce, pero se supone que es por degeneración intratubular de las células germinativas (las células productoras de espermatozoides y de testosterona).
Se sabe que estos microcálculos están localizados en los túbulos seminíderos y son formados por cristales de hidroxiapatita cálcica pura (no son mixtos), estando rodeados por glucógeno (esto último se desconoce por que causa).Últimamente se les ha asociado a las nanobacterias, las mismas causales de la biomineralización de los vasos sanguíneos y de los riñones.
¿Cómo debemos enfocar la Microlitiasis testicular?
Esto depende de muchos factores, los cuales citamos a continuación:
- Sintomatología
- Presencia de otras alteraciones ecográficas testiculares, comno pueden ser la presencia de varicocele, quistes, etc.
- Antecedente familiar o personal de cáncer testicular
Pacientes asintomáticos
El manejo debe ser conservador. En estos casos se recomienda un examen clínico minucioso, seguido de controles periódicos con ecografía. No se recomiendan procedimientos invasivos como la biopsia testicular ni los marcadores tumorales. Se debe valorar también la utilidad del espermiograma, sobre todo si existen enfermedades concomitantes como la varicocele.
Se debe conversar con todos los pacientes con MT para realizar el autoexamen testicular con cierta frecuencia.
Pacientes sintomáticos
Pueden presetarse con masas escrotales, tumores indurados, dolorosos, alteraciones de la fertilidad, ausencia testicular (criptorquídia), testículos en ascensor, y muchos otros diagnósticos; es estos casos donde debe ampliarse la evaluación, recomendándose siempre la especilidad de Urología.
En estos casos, dependiendo de la enfermedad de fondo, se decidirá el tipo de tratamiento y seguimiento.
Finalizando
La Microlitiasis Testicular es una patología de causa desconocida, y si bien existe relación con algunos tipos de tumores testiculares, su diagnóstico no implica necesariamente el desarrollo futuro de cáncer testicular.
Es recomendable siempre la evaluación por parte del urólogo y revisiones periódicas con algunos análisis y exámenes auxiliares.


