NEOPLASIA MALIGNA UROTELIAL.
Artículo Especializado. MU
Artículo Especializado. MU
CITOLOGIA DE ORINA
Análisis e Interpretación
MADRID UROLOGIA
Escribanos y le pondremos en contacto con un especialista.
Fijo: (0034) 910 32 73 74
Email us: madridurologia@gmail.com
INTRODUCCIÓN
El estudio de la orina miccionada o de lavado vesical en el diagnóstico del Cáncer de Células Transcicionales (CCT) se considera un estudio de alto rendimiento en tumores de Alto Grado y el Carcinoma In Situ (CIS), con una sensibilidad que va desde un 38 a un 51 % y una especificidad entre el 81 y el 100 %. Los tumores de Bajo Grado con menos frecuencia exfolian células anormales a la orina y la citología presenta un bajo rendimiento diagnóstico.
ANALISIS
• La orina debe ser enviada para su análisis tan pronto como sea posible después de su recolección.
• Después de la centrifugación, el sedimento celular obtenido se divide entre dos portaobjetos.
• Uno se tiñe con tinción de Papanicolaou y la otra con hematoxilina y eosina (H&E)
• Se realiza el estudio microscópico.
INTERPRETACIÓN
Objetivos primarios de la Citología de Orina.
• Reconocer lesiones planas de manera precoz tales como el CIS antes de que estas lesiones se vuelvan invasivas.
• Detectar el 10% de las lesiones superficiales destinadas a convertirse en tumores invasores.
Característicamente, las células del CCT pueden aparecer solas o en pequeños racimos, y presentan grandes núcleos hipercromáticos con cromatina irregular de textura gruesa. Las células malignas identificadas mediante citología pueden clasificarse como:
• Bajo grado:el cual correlaciona con lesiones histológicas de grado I y algunas lesiones de grado II
• Alto grado: se correlaciona con lesiones de grado II, todas las lesiones de grado III, y también con el Carcinoma In Situ.
CONSIDERACIONES CLINICAS
En los pacientes en los que se mantiene seguimiento por CCT, la sensibilidad global de la citología de orina positiva es de aproximadamente 40 a 60%, pero la sensibilidad aumenta a aproximadamente el 90% para la enfermedad de alto grado y el CIS.
Un diagnóstico citológico positivo es altamente predictivo de CCT, incluso en la presencia de cistoscopia normal. Las células malignas pueden aparecer en la orina mucho antes de que las lesiones cistoscópicamente detectables surjan, dando lugar a una tasa aparentemente exagerada de resultados falsos positivos. La tasa de falsos negativos reportados en general es del 65%, pero puede ser tan alta como 96% en los tumores de bajo grado.
CCT de Alto grado y CIS
• La CO tiene un excelente rendimiento estadístico en aquellos pacientes con lesión de alto grado, y como tal, justifica su uso como estudio de detección y vigilancia durante es seguimiento.
• La sensibilidad es al menos del 90%
• La especificidad alcanza el 98 a 100%
• Las células desprendidas del CIS tienen un citomorfología similar a las lesiones invasivas de alto grado
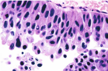
![]() |
| Carcinoma Papilar de Alto Grado. Muestra obtenida de biopsia de vejiga. Se evidencia un incremento en el ratio núcleo citoplasma e hipercromasia nuclear. |
CCT de bajo grado
• Debido al hecho de que las células de los tumores bien diferenciados de bajo grado se parecen mucho a las células uroteliales normales, los citólogos a menudo optan por la terminología «células atípicas presentes» o «no se puede descartar la lesión de bajo grado»
• La sensibilidad varia de 0 a 100%
• Las especificidad varia de 6 -100%
• Se continúan haciendo esfuerzos en desarrollar técnicas auxiliares para mejorar la sensibilidad de la CO en la enfermedad de bajo grado
![]() |
| Carcinoma Urotelial de Bajo Grado. Muestra obtenida mediante lavado vesical. Las células neoplásicas exhiben incremento en el ratio núcleo citoplasma. Los núcleos son más hipercrómicos. |
Una resultado positivo en una CO sin evidencia de lesión apreciable en la vejiga o en la uretra obliga a realizar un estudio sobre la vía urinaria superior, el cual a su vez puede incluir una CO Uroselectiva (realizada en cada vía urinaria mediante cateterización). La sensibilidad global de la citología se puede mejorar mediante el estudio de varios especímenes de orina o lavados vesicales. La combinación de CO con la Cistometría de flujo para detectar células malignas con DNA anormal puede también incrementar el rendimiento, aunque los costes son mucho mayores.
DESVENTAJAS
• Alta tasa de falsos negativos (80% para los de bajo grado CCT y hasta un 20% en el caso de alto grado)
• Subjetividad el mayor determinante de la sensibilidad de la CO es el nivel de experiencia citopatólogo.
• Falsos Positivos. Los artefactos pueden aparecer en presencia de la urolitiasis, inflamación, catéter permanente, instrumentación reciente, terapia intravesical, la sustitución de intestino para la neovejiga, y el tratamiento previo con quimioterapia o radioterapia. Los cambios celulares pueden persistir incluso hasta un año después de recibir el tratamiento.
• La contaminación vaginal, cervical, o células de endometrio en las mujeres pueden dar lugar a interpretaciones erróneas
MADRID UROLOGIA
Dr. Susaníbar
Urología y Medicina Sexual
Nuestros diagnósticos y tratamientos son basados en guías clínicas internacionales y un amplio conocimiento de la patológica.
¿PROBLEMAS UROLOGICOS?
MADRID UROLOGIA
Escribanos y le pondremos en contacto con un especialista.
Fijo: (0034) 910 32 73 74
Email us: madridurologia@gmail.com
Próxima apertura de consultas:
Calle del Corazón de María. Prosperidad. Chamartín. Madrid
Cirugías en Clínica San José. Grupo Quirón.




