La cistoscopía en la evaluación prequirúrgica del paciente prostático
La cistoscopía, como hemos señalado anteriormente, es un examen de gran utilidad en la urología.
Los pacientes varones que se encuentran con síntomas urinarios bajos severos y que tienen indicación de cirugía prostática deben ser sometidos a este examen para determinar que tipo de cirugía es recomendable y a su vez indagar sobre otras enfermedades que puedan presentarse sincrónicamente.
En el caso de los pacientes varones con síntomas urinarios bajos, nos brinda información anatómica sobre:
La cistoscopía, como hemos señalado anteriormente, es un examen de gran utilidad en la urología.
Los pacientes varones que se encuentran con síntomas urinarios bajos severos y que tienen indicación de cirugía prostática deben ser sometidos a este examen para determinar que tipo de cirugía es recomendable y a su vez indagar sobre otras enfermedades que puedan presentarse sincrónicamente.
En el caso de los pacientes varones con síntomas urinarios bajos, nos brinda información anatómica sobre:
- Uretra anterior
- Uretra prostática
- Verum montanum
- Cuello vesical
- Trígono vesical
- Meatos ureterales y la barra intermeatal
- Paredes vesicales (anterior, posterior, y laterales)
Además nos aporta datos sobre enfermedades concomitantes como:
- Trigonitis
- Cistitis
- Cáncer prostático
- Cáncer vesical
- Pólipos vesicales
- Cálculos vesicales
- Sangrado activo
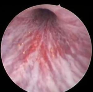
Algunas imágenes de la cistoscopía de un paciente varón con síntomas urinarios bajos severos. (la cistoscopía recomendó la realización de vídeo resección transuretral de próstata)
Pseudo traveculaciones vesicales, conocido como signo de lucha vesical, frecuentemente encontrado en pacientes con retención urinaria, lo que los transforma en candidatos a cirugía prostática
Próstata, vista desde el lúmen uretral. Se aprecian los lóbulos prostáticos derecho e izquierdo ocluyendo la luz uretral, produciéndo una obstrucción del 100%. A las 6 horas se aprecia el verum montanumTransite por nuestro blog y encontrará temas INTERESANTES.
¿Quiere saber más?
VISITENOS
UROLOGIA PERUANA, Dr. Luis Susanibar
Especialistas con certificación internacional.
CONSULTAS:
Av. Brasil 935 – B. Jesús María. Lima
Tel: 332 4009
correo: urologiaperuana@yahoo.com
www.urologiaperuana.com




