La gangrena de Fournier es una infección genital grave cuyo pronóstico vital depende en gran medida de un diagnóstico precoz que, como en muchas otras situaciones, va a recaer sobre el médico de urgencias ya que el paciente consultará de forma urgente por la rápida progresión de la infección.
Grangrena de Fournier: diagnóstico y tratamiento
DIAGNOSTICO
El diagnóstico es fundamentalmente clínico.
Los síntomas más comunes son dolor, eritema y edema (enrojecimiento) escrotal, a menudo asociado a fiebre.
En los primeros estadios, se pueden presentar mínimas manifestaciones cutáneas de la infección. Se debe de reconocer la presencia de una enfermedad sistémica de base como predisponente a la gangrena de Fournier.
Una celulitis que no responde al tratamiento adecuado también debe hacer sospechar gangrena de Fournier. La cianosis, ampollas y el oscurecimiento de la piel son características. La induración de la zona suele estar presente. Las crepitaciones se dan en el 50-62% de los casos. Al desarrollarse la gangrena dérmica, puede ser evidente una necrosis cutánea. Una vez establecida la gangrena, el dolor disminuye. En los primeros estadíos, puede haber síntomas sistémicos de sepsis que son desproporcionados para el aspecto de la infección.
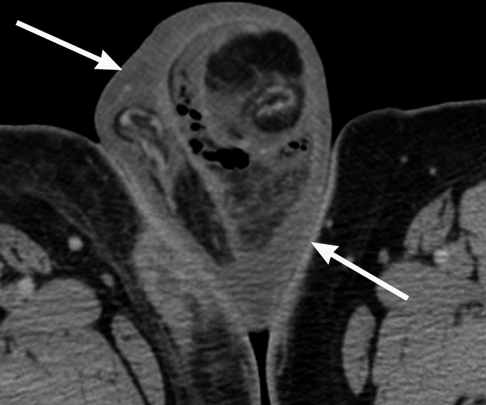
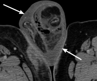
Las radiografías simples pueden revelar la existencia de aire en los tejido blandos, pero no es patognomónico. La ecografía es una herramienta diagnóstica más útil, por su capacidad de diferenciar la gangrena de Fournier de la patología intraescrotal. Ecográficamente, la gangrena de Fournier se manifiesta por la presencia de gas subcutáneo. La realización de un TAC también puede demostrar de una forma muy clara la presencia de gas en tejido celular subcutáneo, llegando al diagnóstico de la enfermedad cuando ésta todavía no se ha manifestado clínicamente en todo su esplendor.
Las radiografías simples pueden revelar la existencia de aire en los tejido blandos, pero no es patognomónico. La ecografía es una herramienta diagnóstica más útil, por su capacidad de diferenciar la gangrena de Fournier de la patología intraescrotal. Ecográficamente, la gangrena de Fournier se manifiesta por la presencia de gas subcutáneo. La realización de un TAC también puede demostrar de una forma muy clara la presencia de gas en tejido celular subcutáneo, llegando al diagnóstico de la enfermedad cuando ésta todavía no se ha manifestado clínicamente en todo su esplendor.
TRATAMIENTO
Los principios más importantes del tratamiento son la estabilización hemodinámica, la antibioterapia parenteral de amplio espectro y el desbridamiento quirúrgico urgente.
Tratamiento quirúrgico
Es esencial un rápido y radical desbridamiento quirúrgico de las zonas de necrosis subcutánea.
El desbridamiento de la fascia profunda y del músculo no son normalmente necesarios. La extensión de la enfermedad no se puede juzgar por los límites de la necrosis cutánea. Se recomienda la disección de la piel y del tejido celular subcutáneo para definir los límites de la excisión. Los testículos raramente están afectados por la gangrena, y se suelen conservar. Tras la intervención, la herida debe de ser controlada al detalle. Si las condiciones sistémicas del paciente no responden a la cirugía inicial, hay que suponer que queda tejido necrótico.
Es esencial un rápido y radical desbridamiento quirúrgico de las zonas de necrosis subcutánea.
El desbridamiento de la fascia profunda y del músculo no son normalmente necesarios. La extensión de la enfermedad no se puede juzgar por los límites de la necrosis cutánea. Se recomienda la disección de la piel y del tejido celular subcutáneo para definir los límites de la excisión. Los testículos raramente están afectados por la gangrena, y se suelen conservar. Tras la intervención, la herida debe de ser controlada al detalle. Si las condiciones sistémicas del paciente no responden a la cirugía inicial, hay que suponer que queda tejido necrótico.
Antibióticoterapia
Se recomienda una triple terapia: celalosporinas de tercera generación o aminoglucósidos para cubrir aerobios gramnegativos, penicilina para cubrir estreptococos y metronidazol para actuar sobre anaerobios.
Medidas de apoyo
Normalmente se aplica hipoclorito sódico o peróxido de hidrógeno en las heridas. Recientemente se ha aplicado miel sin procesar, con buenos resultados37. Se ha utilizado el oxígeno hiperbárico en estos pacientes. Este tratamiento, aunque beneficioso, no debería retrasar la intervención quirúrgica. El oxígeno hiperbárico se podría reservar para pacientes sépticos a pesar de un desbridamiento máximo. Este tipo de pacientes son críticos, y suelen precisar sangre, factores de coagulación, ventilación asistida, nutrición parenteral o enteral etc.
El pronóstico de la gangrena de Fournier es muy grave, con una mortalidad variable entre el 30 y el 80%.
El pronóstico de la gangrena de Fournier es muy grave, con una mortalidad variable entre el 30 y el 80%.
La elevada mortalidad refleja tanto la naturaleza agresiva de la enfermedad como el debilitamiento que produce a muchos de los pacientes. Se han establecido parámetros pronósticos, basados fundamentalmente en datos de homeostasis.

