Una patología que preocupa a muchos varones son la prescencia de cálculos o calcificaciones en la próstata. Sepa más al respecto.
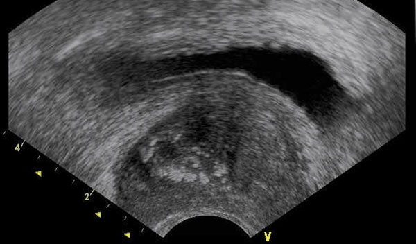
En la foto se muestra una ecografía de próstata, en la cual se aprecian cálculos intraprostáticos (círculos plomos). El paciente fue sometido a cirugía prostática.
Calficaciones intraprostáticas
Los cálculos prostáticos se forman por la precipitación de las secreciones prostáticas en el interior de la glándula, y por la calcificación de la sustancia amilácea cuando la próstata se inflama; estos dos fenómenos se producen por la obstrucción a la salida del líquido prostático, el cual al quedar atrapado, se endurece y calcifica.
Los cálculos suelen ser múltiples y se localizan en toda la próstata.
Los cálculos de la próstata están asociados a otras enfermedades como: hiperplasia benigna de próstata, prostatitis crónica, adenocarcinoma prostático, estenosis uretral, litiasis urinaria o tuberculosis urogenital.
Los cálculos suelen ser múltiples y se localizan en toda la próstata.
Los cálculos de la próstata están asociados a otras enfermedades como: hiperplasia benigna de próstata, prostatitis crónica, adenocarcinoma prostático, estenosis uretral, litiasis urinaria o tuberculosis urogenital.
Diagnóstico
El diagnóstico es radiológico, mediante radiografía simple y ecografía transrectal, siendo esta última la prueba más sensible ya que nos permite visualizar la localización exacta de la calcificación (próstata versus vesículas seminales).
Incidentalmente tambien pueden ser diagnosticados durante la cistoscopia o incluso, durante la cirugía prostática.
Síntomas frecuentes
- Disminución del flujo miccional
- Prostatismo
- Lumbalgia
- Dolores en la zona perineal, pélvico o en la región posterior de las piernas
Tratamiento
La mayoría de litiasis prostáticas son asintomáticas por lo que no requieren tratamiento; en caso de presentar síntomas, se deberá tratar la patología urológica asociada (HBP, prostatitis, como más frecuentes).
Sin embargo de ser muy molestos, debe indicarse la cirugía prostática; sea mediante resección transuretral, abierta o láser.

