Usualmente las infecciones urinarias ocurren en los conductos que llevan la orina hacia el exterior, esto es en los cálices renales y pelvis renal (conocido como pielonefritis) y en los uréteres, vejiga (cistitis) y uretra (uretritis); sin embargo la infección puede localizarse también en la parte funcionante del riñón, conocida como parénquima, es decir en la «carne» del riñón.
Cuando la infección se produce en el parénquima renal, se le conoce como Absceso renal o peri renal cuando asoma hacia la superficie del riñón), y en ambos casos debemos proceder con premura. Sepa un poco más al respecto líneas abajo.
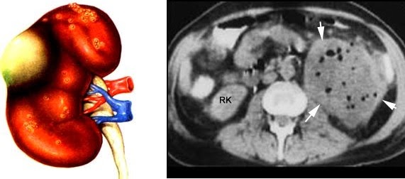
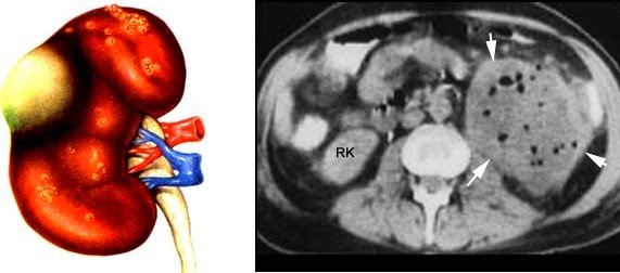
Un absceso renal es la presencia de pus dentro del riñón, y debe tratarse de manera inmediata y agresiva, pues de no hacerlo, es mortal. En la tomografía las flechas indican la colección de pus en el parénquima renal.
Absceso renal y perirenal
El absceso renal es una colección de material purulento confinado al parénquima renal y que se localiza en la corteza, éste puede ser secundario a una pielonefritis xantogranulomatosa. La obstrucción parcial del riñón hace que refluya orina infectada al riñón, 2/3 de los abscesos se asocian a litiasis renal y daño renal.
Tipos de absceso
Absceso o forúnculo renal, cuando la pus se acumula en el parénquima renal
Absceso perirenal, cuando la pus o absceso se llocaliza por fuera y colindante al riñón, pero por debajo de la fascia de Gerota
Absceso pararenal, cuando el absceso sale de la fascia,
Quienes tienen más riesgo de desarrollar absceso renal?
Felizmente esta enfermedad es muy rara, sin embargo existen personas que tienen mas chance de desarrollarla, entre ellos:
- Las personas con cálculos renales
- Los pacientes con insuficiencia renal
- Los diabéticos
- Las personas con infecciones urinarias cronicas y que adicionalmente tienen alteraciones anatómicas de las vías urinarias.
- Las mujeres embarazadas y que tienen infección de orina.
- Los pacientes con tuberculosis.
Cómo se realiza el diagnóstico?
El paciente va a presentarse con fiebre, con malestar general. Al examen tendrá el abdomen doloroso, así como también la zona renal (fosa lumbar)
La analítica sanguínea indicará aumento de los glóbulos blancos (leucocitosis) como respuesta defensiva del cuerpo a la infección, pudiendose incluso econtrarse bacterias en la misma sangre, sobre todo en casos de microorganismos gram negativos. El examen de orina muchas veces no muestra infección.
Si bien la ecografía y urografía excretoras son de ayuda, el examen de elección es la Tomografía.
En ella se puede delimitar el absceso renal, y conocer si este ha salido del riñón.
Cómo debe tratarse?
Todo paciente con dolor renal asociado a fiebre, debe hospitalizarse, pues como mínimo estamos frente a un caso de pilonefritis. Los antibióticos deben iniciarse de inmediato, por vía endovenosa.
Si luego de 2 o 3 días el cuadro no mejora, debe sospecharse el absceso, por lo que se ampliarán los exámenes diagnósticos.
En algunos casos puede indicarse el drenaje percutáneo o la cirugía, sobre todo en abcesos voluminosos, esto es de 5 centímetros de diámetro o más. Se puede aprovechar el abordaje percutáneo (esto es colocar una sonda a través de la piel y ubicada e el riñón), no solo con el fin de drenar, sino también de poder irrigar antibiótico.
Si no es tratado a tiempo, el absceso puede alcanzar una mortalidad de 50%.
Dr. Luis Susaníbar Napurí
Especialista en Urología y Medicina Sexual





