CANCER DE TESTICULO
PARTE 2. Capítulo 1.
PARTE 2. Capítulo 1.
HISTOLOGIA
Artículo especializado. MU
Artículo especializado. MU
INTRODUCCION
Una vez establecido el diagnóstico del CT, el estudio se encamina al Estadiaje tumoral y la Categorización tumoral en Grupos de Riesgo de acuerdo a la American Joint Committee in Cancer (AJCC) y Union for International Cancer Control (UICC).
Con este propósito es indispensable el estudio histológico de la pieza de Orquiectomía Radical, la obtención de Marcadores Tumorales y las Pruebas de Imágenes para determinar el TNM y definir los Grupos de Riesgo.
HISTOLOGIA
Como hemos visto en capítulos previos, la histología más frecuente de los Tumores de Testículo son los Tumores de Células Germinales (TCG) en un 90 al 95 % de los casos. Sin embargo, hay que recordar que los TCG son un grupo más amplio, dentro de los cuales se incluye el TCG DE TESTICULO, por lo que utilizaremos estas siglas para definirlo: TCGT.
CLASIFICACION DE LOS TUMORES DE TESTICULO. OMS 2016
Recientemente se han realizado cambios en la clasificación del CT de la Organización Mundial de la Salud en 2016 comparada con la clasificación previa del 2004.
La siguiente tabla muestra la nueva clasificación adoptada por la WHO 2016 para los tumores de testículo e incluye los tumores no relacionados con los TCGT.
![]() |
| Clasificación de Tumores de Testículo de la OMS 2016 publicado en Platinum Priority – Guidelines de la EAU. Tomado por MU con fines docentes. |
MU POINT
La nueva clasificación de la OMS afecta al conjunto de los tumores testiculares, pero su principal cambio se observa en los tumores germinales del testículo.
Se reemplaza oportunamente los términos de Carcinoma In Situ (CIS) o Neoplasia de Células Germinales Inclasificable (IGCNU) por Neoplasia In Situ de Células germinales (NISCG) por ser un término más correcto, pues suprime el error de implícito del “carcinoma”, que sugiere un tumor “epitelial” y por otro lado por que el término “Inclasificable”, trasmite un elemento de duda sobre la naturaleza y comportamiento de la lesión.
MU POINT
La nueva clasificación de la OMS afecta al conjunto de los tumores testiculares, pero su principal cambio se observa en los tumores germinales del testículo. Se reemplaza oportunamente los términos de Carcinoma In Situ (CIS)o Neoplasia de Células Germinales Inclasificable (IGCNU) por Neoplasia In Situ de Células germinales (NISCG) por ser un término más correcto pues suprime el error de inplícito del “carcinoma” que implica un tumor “epitelial” y por otro lado por que el término “Inclasificable” el cual trasmite un elemento de duda sobre la naturaleza y comportamiento de la lesión.
La nueva clasificación se basa en la morfología y la biología molecular de los tumores los cuales son clasificados en:
1.- Tumores relacionados a NISCG y
2.- Tumores NO relacionados a NISCG
![]() |
| Algoritmo. Histología del Cáncer de Testículo. |
HIPOTESIS DE TRANSFORMACION NEOPLASICA EN LOS TCGT
Durante el desarrollo embrionario, las células germinales Totipotenciales se desarrollan en vías normales de diferenciación hacia Espermatocitos. Sin embargo si se desarrollan en vías anormales se diferencian en Seminomas y Carcinoma Embrionario (células embrionarias totipotentes). A su vez, si las células embionarias se someten a diferenciaciones posteriores a lo largo de vías intraembrionariasse desarrollara subsecuentemente el Teratoma. Si las células embrionarias se someten a diferenciaciones posteriores a lo largo de vías extraembrionariasentonces se desarrollara el Coriocarcinoma o el Tumor de Saco de Yolk.
El siguiente algoritmo ilustra perfectamente el texto.
![]() |
| Hipotesis Tumorogénica del Tumor de Células Germinales. Tomado de Smith and Tanagho por MU con fines docentes. |
Este modelo ayuda a explicar por que determinados patrones histológicos de tumor testicular produce determinado marcador tumoral. Tenga en cuenta que los tumores de Saco Vitelino producen Alfa Feto Proteína (AFP en la medida que lo hace el Saco Vitelino en su desarrollo normla. Del mismo modo, el Coriocarcinoma produce la unidad beta de la Hormona Gonadotropica Humana (bHCG) al igual que la produce la placenta normal.
TUMORES DE CELULAS GERMINALES MAS FRECUENTES
Nota importante para el lector:
Con fines didácticos mantendremos la clasificación de los tumores agrupados por tipo; y en cada uno de ellos distinguiremos aquellos con Relación o NO a NISCG.
TCGT SEMINOMA 35 %
Se han descrito tres subtipos histológicos de seminoma puromás in embargo, no existe diferencia pronóstica que los diferencie.
El Seminoma Clásico representa el 85% de todos los seminomas y es más común en la cuarta década de la vida. Macroscópicamente, se observan nódulos coalescentes grises. Microscópicamente, se observan células grandes con citoplasma claro y núcleos teñidos densamente. Cabe mencionar que los elementos sincitiotrofoblásticas se observan en aproximadamente el 10-15% de los casos, una incidencia que corresponde aproximadamente a la incidencia de la producción de hCG en los seminomas.
El Seminoma Anaplásico representa el 5-10% de todos lo seminomas. El diagnóstico requiere la presencia de tres o más mitosis por campo de alta potencia, y las células demuestran un mayor grado de pleomorfismo nuclear respecto al tipo clásicos. El Seminoma Anaplástico se tiende a presentar en estadíos más avanzados de enfermedad que el Seminoma Clásico. Sin embargo como hemos mencionado al inicio, este subtipo no conlleva a un peor pronóstico.
El Seminoma Espermatocítico (No relacionado a NISCG) representa el 5-10% de todos los Seminomas. Microscópicamente, las células varían en tamaño y se caracterizan
por tinción densa del citoplasma y núcleos redondos que contienen la cromatina condensada. Más de la mitad de los pacientes con seminoma espermatocítico son mayores de 50 años.
TCGT NO SEMINOMA
Carcinoma de Células Embrionarias 20 %
Existen dos variedades de Carcinoma de Células Embrionarias: el tipo Adulto (Relacionado a NISCG) y el tipo Infantil o Tumor de Saco Vitelino (No relacionado a NISCG) (también llamado Tumor del Sinus Endodermal). La estructura histológica de la variante adulta demuestra un marcado pleomorfismo y ribetes de células indistintas. Las figuras mitóticas y células gigantes son comunes. Las células pueden estar dispuestas en láminas, cordones, glándulas, o estructuras papilares. Pueden observarse extensas zonas de hemorragia y necrosis.
La variante infantil, o el tumor de saco vitelino, es el tumor testicular más común de los bebés y los niños. Cuando se ve en los adultos, por lo general ocurre en los tipos histológicos mixtos y posiblemente es responsable de la producción de AFP en estos tumores. Microscópicamente, las células demuestran un citoplasma vacuolado secundario al deposito de grasa y glucógeno y están dispuestos en una red flexible de grandes espacios quísticos. Cuerpos embrioides se observan con frecuencia y se asemejan a embriones de 1 a 2 semanas de edad, que consisten de una cavidad rodeada por syncytio- y citotrofoblastos.
La variante infantil, o el tumor de saco vitelino, es el tumor testicular más común de los bebés y los niños. Cuando se ve en los adultos, por lo general ocurre en los tipos histológicos mixtos y posiblemente es responsable de la producción de AFP en estos tumores. Microscópicamente, las células demuestran un citoplasma vacuolado secundario al deposito de grasa y glucógeno y están dispuestos en una red flexible de grandes espacios quísticos. Cuerpos embrioides se observan con frecuencia y se asemejan a embriones de 1 a 2 semanas de edad, que consisten de una cavidad rodeada por syncytio- y citotrofoblastos.
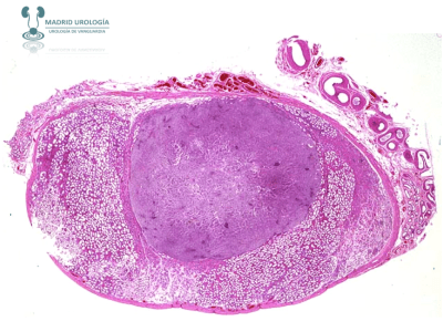
![]() |
| Carcinoma embrionario con nodulo grande mostrando zonas de hemorragia y necrosis. Para MU con fines docentes. |
Teratoma 5 %
Presentes tanto en niños como en adultos. Contienen varias capas de células germinales en varias etapas de maduración y diferenciación. Macroscópicamente, el tumor aparece lobulado y contiene quistes de tamaño variable llenos material gelatinosa o mucinoso. El Teratoma Maduro (No relacionado a NISCG) puede tener elementos que se asemejan a estructuras benignas derivadas del ectodermo, del mesodermo, y del endodermo, mientras el Teratoma Inmaduro (relacionado a NISCG) se compone de tejido primitivo indiferenciado. En contraste con su contraparte de ovario, el teratoma maduro de los testículos no alcanza el mismo grado de diferenciación que el teratoma de ovario. Microscópicamente, el ectodermo puede estar representado por epitelio escamoso o tejido neural; el endodermo puede estar representado por tejido intestinal, páncreas, o de tejido respiratorio; y el mesodermo puede estar representado por músculo liso o esquelético, cartílago, o hueso.
Coriocarcinoma <1% (Relacionado a NISCG)
El Coriocarcinoma puro es raro. Las lesiones tienden a ser pequeñas dentro del testículo y por lo general demuestran hemorragia en el centro durante la exploración macroscópica. Microscópicamente deben ser observadas zonas de syncytio- cytotrofoblastos.
Los elementos sincitiales son típicamente células grandes, multinucleadas con citoplasma vacuolado y eosinofílico; los núcleos son grandes, hipercromáticos, e irregulares. Los Citotrofoblastos son células uniformes con bordes bien definidos, citoplasma claro, y un solo núcleo.
Clínicamente, los coriocarcinomas se comportan de una manera sumamente agresiva caracterizada por la diseminación hematógena temprana. Las metástasis generalizadas paradójicamente, se asocian a lesiones intratesticulares pequeñas.
Clínicamente, los coriocarcinomas se comportan de una manera sumamente agresiva caracterizada por la diseminación hematógena temprana. Las metástasis generalizadas paradójicamente, se asocian a lesiones intratesticulares pequeñas.
Tumor de Tipo Celular Mixto 40 %
Dentro de la categoría de tumores de células mixtas (hasta 25% de todos los tumores testiculares) la mayoría son teratocarcinomas, los cuales Son una combinación de Teratoma y Carcinoma de Células Embrionarias. Hasta un 6% de todos los tumores testiculares del tipo de células mixtas, tienen como componente el seminoma.
TUMORES DE CELULAS NO GERMINALES TCNG
Incluyen Los tumores del Cordón espermático y del Estroma Gonadal. Constituyen el 5 al 10 % de los tumores testiculares.
Tumor de Células de Leydig y de Sertoli
Son los principales tipos histológicos de TCNG, siendo el Tumor de Células Leydig el más común. Alrededor del 10% de estos tumores son malignos.
Los tumores de Células de Leydig secretan testosterona y estrógeno. Además de poder presentarse como masa testicular, estos tumores se pueden presentar con pubertad precoz y virilización en la infancia y con ginecomastia e impotencia en la edad adulta. El tratamiento principal es la orquiectomía. Son resistentes a la quimioterapia y la terapia de radiación; por lo tanto, las metástasis linfoganglionares deben ser removidas quirúrgicamente.
Linfoma
Puede ser primario o metastásico. Es la neoplasia testicular bilateral más común y su picos de incidencia es la quinta década de la vida.
Los tumores de células de la granulosa
Son tumores benignosmuy raros en las gónadas. Por lo general ocurren en el período neonatal y la orquiectomía es curativa.
Gonadoblastoma
Es un tumor benigno poco frecuente que ocurre casi exclusivamente en pacientes con disgenesia gonadal de trastornos intersexuales (hermafroditismo). La orquiectomía bilateral se aboga porque las dos terceras partes de estos tumores se someten a la transformación de la neoplasia maligna de células germinales.
MU POINT:
Actualmente los TCG se subclasifican según Tengan o No relación con la Neoplasia In Situ de Células Germinales lo que facilita su descripción morfológica como biológica.
MADRID UROLOGIA
Dr. Luis Fernando Susaníbar Napurí
Urología y Medicina Sexual
Experto en Oncología Urológica por la Universidad Autonoma de Madrid
Experto en Oncología Urológica por la Universidad Autonoma de Madrid
Links asociados. Cáncer de Testículo. Parte 1.
Links asociados. Cáncer de Testículo. Parte 2.
Links asociados. Cáncer de Testículo. Parte 3.
MADRID UROLOGIA
Escribanos y le pondremos en contacto con un especialista.
Fijo: (0034) 910 32 73 74
Email us: madridurologia@gmail.com
Próxima apertura de consultas:
Calle del Corazón de María. Prosperidad. Chamartín. Madrid
Cirugías en Clínica San José. Grupo Quirón











