CANCER DE TESTICULO
PARTE 2. Capítulo 5.
PARTE 2. Capítulo 5.
PRUEBAS DIAGNOSTICAS y ESTADIAJE
Artículo Especializado. MU
INTRODUCCION
Una vez establecido el diagnóstico del CT, el estudio se encamina al Estadiaje tumoral y la Categorización tumoral en Grupos de Riesgo de acuerdo a la American Joint Committee in Cancer (AJCC) y Union for International Cancer Control (UICC).
Con este propósito es indispensable el estudio histológico de la pieza de Orquiectomía Radical, la obtención de Marcadores Tumorales y las Pruebas de Imágenes para determinar el TNM y definir los Grupos de Riesgo.
PRUEBAS DIAGNOSTICAS y ESTADIAJE
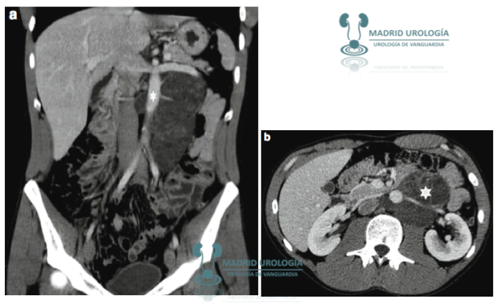
TOMOGRAFIA AXIAL COMPUTARIZADA
El TAC es el estudio estándar para la valoración de vísceras, nódulos retroperitoneales y mediastínicos.
Los nódulos supraclaviculares se valoran mejor mediante la exploración física.
Los nódulos supraclaviculares se valoran mejor mediante la exploración física.
TAC ABD PEL
§ Mandatorio en todos los tipos de TCG.
§ Sensibilidad y VPN se incrementa con cortes de 3 mm.
§ Sensibilidad 70 – 80 % en determinar nódulos retroperitoneales.
§ En estadios I y II la tasa de infra estadiaje es de 25 – 30 %.
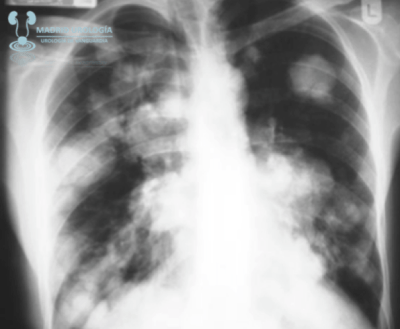
TAC TORAX
Según las guías de la ESMO
El TAC de tórax debe realizarse en todos lo casos de TCG No Seminomatoso y podría ser omitido en casos de TCG Seminomatoso sin afectación de metástasis infra diafragmáticas.
Según las guías de la EAU
El TAC de tórax se recomienda en todos los casos de TCG independientemente de la estirpe fundamentado en que un 10 % de los casos se presentan con nódulos subpleurales no detectables mediante radiológia simple.
El TAC de tórax tiene Alta Sensibilidad pero No Especificidad.
![]() |
| Metástasis pulmonares en suelta de globos en un caso de TCG No Seminomatoso. Recuerde que en un 10 % de los casos las imagenes de nóduoos pulmonares no son valorables mediante radiología simple. |
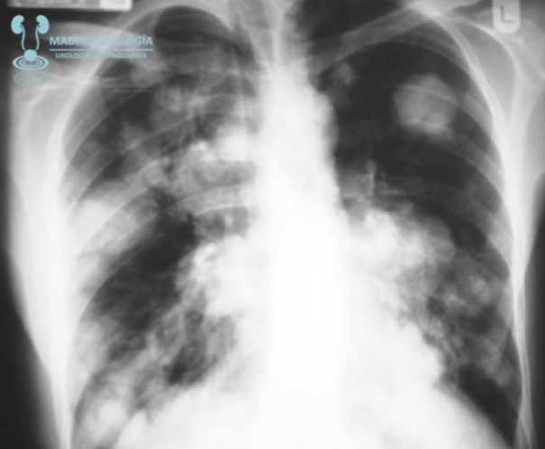
![]() |
| Metástasis pulmonares en TAC. |
RESONANCIA MAGNETICA NUCLEAR
§ La RMN tiene similares resultados que el TAC en la detección de nódulos retroperitoneales patológico
§ Útil en el caso de que el TAC o el Ultrasonido sean no concluyentes
§ Útil si el TAC con contraste esta contraindicado.
§ Útil también en casos de sospecha de metástasis cerebral.
§ Su principal objeción es el alto coste y su disponibilidad limitada.
PET FLUORODEOXYGLUCOSE
§ No existe evidencia que soporte su uso en el estadiaje del CT.
§ Se recomienda en el seguimiento de pacientes con TCG Seminomatoso con masa residual tras 6 semanas de tratamiento con Quimioterapia para decidir Vigilancia Activa o Tratamiento Activo. (Re Estadiaje)
§ No existe recomendación para el Re Estadiaje en casos de TCG No Seminomatoso después de Quimioterapia.
![]() |
| PET FDG ilustrativo. |
OTROS ESTUDIOS
El estudio de metástasis cerebrales, medula espinal u óseas se debe realizar solo si existe sospecha de afección de estos órganos. Las guías de la ESMO recomienda su uso en estadios Avanzados de enfermedad, especialmente en el Coriocarcinoma con elevación marcada de beta HCG.
MADRID UROLOGIA
Dr. Susaníbar
Urología y Medicina Sexual
Links asociados. Cáncer de Testículo. Parte 1.
Links asociados. Cáncer de Testículo. Parte 2.
Links asociados. Cáncer de Testículo. Parte 3.
¿PROBLEMAS UROLOGICOS?
MADRID UROLOGIA
Escribanos y le pondremos en contacto con un especialista.
Fijo: (0034) 910 32 73 74
Email us: madridurologia@gmail.com
Próxima apertura de consultas:
Calle del Corazón de María. Prosperidad. Chamartín. Madrid
Cirugías en Clínica San José. Grupo Quirón






